ブログ BLOG
- 興福歯科医院 ホーム
- ブログ
- 虫歯および歯周病治療 + マウスピース矯正治療
虫歯および歯周病治療 + マウスピース矯正治療
症例集
2024.03.19
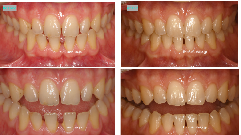
症例について

治療概要
| 治療内容 | 虫歯および歯周病治療 + マウスピース矯正治療 |
| 治療期間 | 6ヶ月 |
| 主訴/ニーズ | 歯の汚れや歯石、歯の隙間が気になる |
| 年齢/性別 | 38歳 男性 |
| 治療費 | 50万(税別) |
| リスク・副作用 | マウスピース矯正治療中は食事中以外ほぼ全ての時間中マウスピースを装着していただかないと良い治療結果が得られません。ワイヤー矯正に比べると異物感は少ないものの、治療中、治療後のセルフケアの徹底をしないと虫歯や歯周病を再発してしまう恐れがあります。また、矯正治療終了後は保定のため夜間睡眠時に保定用マウスピースを装着していただくことになります。 |