ブログ BLOG
- 興福歯科医院 ホーム
- ブログ
- 🦷口腔内スキャナーとは📷
🦷口腔内スキャナーとは📷
2026.02.05
こんにちは。興福歯科医院です。今日は当院でも使用している口腔内スキャナーについてお話しします。
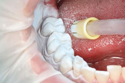
📸口腔内スキャナーとは📸
口腔内スキャナーとは、お口の中を小さなカメラを使って撮影して高解像度の3Dデータを取得できる機械のことです。お口の中の3Dデータを得られることから「3Dスキャナー」とも呼ばれています。
口腔内スキャナーは、動画を撮るかのように歯型をスキャンしてデータを取得します。上下の歯のデータ取得をわずか数分で済ませられるため、従来の手法である粘土のような印象材を口の中に入れて歯型を取るものに比べて、息苦しさや嘔吐感がなく、時間も短縮できます。
📷口腔内スキャナーの用途📷
口腔内スキャナーの代表的な用途は、『歯型の取得』、マウスピース矯正で使われる『マウスピースの造形』、インプラント治療で使う『サージカルガイド』を作る。の3つがあります。


🌸口腔内スキャナーのメリットとデメリット🌸
<メリット>
・型取りの時間の短縮
歯列や歯、歯茎の型を取るには、従来の手法だと粘度のような印象材をお口の中に入れ、固まるまで待つ必要がありました。印象材が固まるまでおよそ3分程度かかるため、上下の型取りをした場合、合計で6分程度かかる計算になります。
しかし、口腔内スキャナーを用いた型取りは、お口の中に機械を入れて歯列に沿って撮影をしていくだけなので、印象材を使用するときと比べて時間を大幅に短縮できます。また、マウスピースなどの製作工程において、現物の型ではなく、データ上でのやり取りで製作を始められることから、製品の完成までにかかる期間の短縮ができます。
・不快感が少ない
粘土のような印象材を用いた型取りは、お口の中に印象材を入れ、固まるまで待つ必要があるので、吐き気やえずいてしまう「嘔吐反射」という現象や、息苦しさを感じてしまう患者さんがよくいます。
しかし、口腔内スキャナーを用いた手法では、型取りに要する時間がほとんどなく、長時間口を開けずに済むため、不快感なく精密な歯型を採取できます。また、印象材を誤嚥してしまうリスクも避けられるので、安全性にも優れていて、嘔吐反射のある患者さんでも不快感なく型取りをすることができます。
・人的ミスの削減
従来の印象材を用いた手法では、人の手で作業をしなければならないため、うまく型取りができなかった時に、もう一度型取りをやり直す必要があります。
しかし、口腔内スキャナーの場合は、機械を使ってお口の中を撮影するだけの作業なので、人的ミスを削減できます。
・治療精度の向上
印象材を用いた型取りは、変形や劣化などにより、正確なデータが得られないことがあります。
口腔内スキャナーは、お口の中の情報を高解像度でスキャンして、コンピューター上で立体的に解析できるため、より精度の高い矯正装置や技工物(被せ物や詰め物)の作製ができます。
・保存性の向上
石膏で作製した歯列模型などは、長期保存が難しく、場所も取ってしまう問題がありました。一方、口腔内スキャナーは歯型の情報を3Dデータとして残せるので、現物の模型を保管するのに比べて保存性に優れています。
仮に患者の被せ物が取れた場合でも、保存していた元々の歯型のデータがあれば、それを基にして新しい被せ物を作製することが可能です。
<デメリット>
・費用
機器本体の購入費用や、保守・利用料などのランニングコストが非常に高額になる傾向があります。
・一部のケースでの適用限界
歯並びが非常に複雑な場合や、お口の中に残っている歯が少ない場合、歯肉の健康状態が悪い場合などは、スキャナーでの正確なデータ取得が難しい場合があります。
・操作の習熟
機器を正確に操作するには、歯科医師や技工士、歯科衛生士などの熟練した技術が必要です。
・適合の問題
口腔内スキャナーのデータから作製された補綴物が、必ず既存の歯と完全に適合するとは限りません。これは、歯ぎしりなどの口腔内の動きで歯の形が変わってしまう事を考慮していないことが原因となります。
🌼itero ルミナ🌼
当医院では、iTeroルミナという機械を使用しています。これも、口腔内スキャナーと同じくお口の中をカメラで撮影して、歯列や歯、歯茎の状態のスキャンをします。

従来の印象材を使った歯型取りと異なり、口腔内をスキャンするだけで短時間で高精度な3Dデジタルデータを取得できます。軽量化された小型のワンド(先端のカメラ部分)により、患者さんへの負担を軽減し、複雑な歯並びや、お口の小さい方でも撮影しやすくなっています。
💐iteroルミナの主な特徴💐
・スキャン範囲と速度の向上
従来モデルの約3倍の視野で、スキャンする速度が向上しました。
・深い被写界深度
最大25mmの被写界深度により、複雑な口腔内でも、スムーズにスキャンできます。
・患者の快適性
ワンド(先端のカメラ部分)のサイズが約半分になったことで軽量化されたので、患者さ
んへの負担が軽減されます。
・デジタルデータ活用
矯正治療のシミュレーションや、患者さんとのコミュニケーションツールとして活用できます。
・高解像度・高画質
写真のように鮮明な3D画像が取得できるようになり、AIによる診断支援機能も備えています。
🌸メリットとデメリット🌸
*メリット*
・スキャン時間の短縮と精度の向上
短時間で高解像度のスキャンデータを作成でき、歯型の精度が向上します。
・患者さんの負担軽減
スキャンヘッド(カメラ部分)がコンパクトになり、お口が開きにくい方や、お口が小さい方でも快適に撮影できます。従来の印象材を使った型取りに比べて、えずきや吐き気などの不快な思いをする時間も短縮されます。
・デジタルデータの利便性
データとして残るので、歯型の模型が破損する心配がなく、保管スペースも不要です。また、データの複製や検索も容易です。
・治療への理解促進
患者さんが自分の歯列データを視覚的に確認できるため、治療への理解が深まります。
*デメリット*
・使用上の制約
口腔内の状態によっては、スキャンが困難な場合があります。
(金属の被せ物や詰め物などは、反射してしまうのでスキャンするのが難しいです。その場合、専用のスプレーを振りかけて対処することもあります。)


・高額な導入費用
導入費用が高額で、保険適用外の治療でのみ導入されます。そのため、治療費が高額になる事があります。
・操作の習熟に時間が必要
新しい機器の操作に慣れるまで、ある程度の時間と練習が必要です。
🌺iteroルミナの用途🌺
・矯正治療
マウスピース型矯正装置(インビザラインなど)で使用されるマウスピースの設計に不可欠な歯型スキャンや、治療前後のシミュレーションに利用されます。
・補綴治療
むし歯治療後に被せる被せ物や、クラウンなどの作製のための精密な3Dデータを取得します。
・患者への説明
スキャンした3Dデータが画面に映し出されるので、患者さんに現在の歯並びや噛み合わせの状態を視覚的に分かりやすく説明できます。
・プレゼンテーション
矯正治療や補綴治療の計画や結果を患者さんに説明する時に、3Dデータを用いたプレゼンテーションを行うこともできます。
口腔内スキャナーとiTeroルミナの違い
| 項目 | iTero Lumina | 従来の口腔内スキャナー |
| カメラ解像度 | 従来の約3倍 | 1920×1080 |
| サイズ | 260g | 470g |
| 計測方法 | マルチダイレクトキャプチャー | 共焦点 |
| 撮影可能深度 | 25㎜ | 15㎜ |
| 接続方法 | ワイヤード | ワイヤード |
| 項目 | iTero Lumina | 従来の口腔内スキャナー |
| AIスキャン | 🙆 | 🙆 |
| ロック機能 | 🙆 | 🙆 |
| マージンラインの作製 | 🙆 | 🙆 |
| 咬合分析 | 🙆 | 🙆 |
| 側方運動 | 🙅♂️ | 🙅♂️ |
| 支台歯の高解像度スキャン | 🙅♂️ | 🙅♂️ |
粘土のような印象材での型取りが苦手、セラミックをかぶせたいなど相談したいことや悩んでいることがあればいつでもお話ししてくださいね。